The era of muscle intelligence has arrived.

Scalable muscle intelligence for clinical decision-making.

Elaya is building a first-of-its-kind muscle intelligence platform enabling objective measurement of muscle quality and function in clinical environments.

Muscle health is a primary determinant of recovery, mobility, and long-term outcomes, yet it remains largely unmeasured in clinical practice.

This results in missed intervention windows, inefficient care delivery, and significant downstream costs.

Measuring muscle in the ICU

What is ICU-acquired weakness

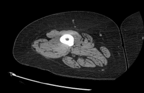
Muscle at ICU admission (light grey)

Same muscle 6 months post-ICU discharge

Patients ventilated and sedated in the ICU are most at risk of developing ICU-acquired weakness. Muscle loss can progress as quickly as 2-4% per day. 50% of patients 65 or older, on a ventilator in the ICU for a week or more experience permanent disability.

Prevention of ICU-acquired weakness can reduce ICU stay by up to 4 days, preserve mobility and function and enable the return to active life after recovery.

Increased health care costs as a result of longer ICU stay and functional dependence post-ICU discharge.

About Us

Elaya’s mission is to increase healthspan, preserve mobility and sustain independence for patients through muscle intelligence.

By integrating proprietary sensors, automated data processing, and digital biomarkers, Elaya transforms muscle health into a quantifiable, actionable vital sign, unlocking a new category in healthcare data.

Partners

Contact Us